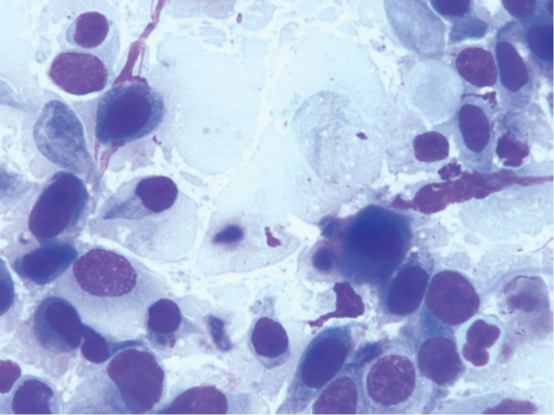
10岁的西高地白梗,尿道肿物穿刺,该犬有尿频、痛性尿淋沥、尿血的临床表现。触诊膀胱坚实、膨胀,腹部超声显示尿道增厚、不规则,膀胱充盈。

Q1:描述你看到的细胞学?
Q2:这只狗狗的鉴别诊断有什么?
Q3:进一步检查还需要做什么?
Q4:应该怎么治疗?
A1:细胞学显示了上皮细胞群,明显的细胞大小不等、细胞核大小不等,但是考虑到可能是上皮细胞发育不良,需要活检。
A2:移行细胞癌是最常见的尿道肿瘤,其他犬的尿道有报道的肿瘤还有鳞状上皮细胞癌,平滑肌瘤,平滑肌肉瘤,浆细胞瘤,淋巴瘤和软骨肉瘤。引起尿道狭窄的肺肿瘤原因有增生性尿道炎(也称作淋巴浆细胞性尿道炎,肉芽肿性尿道炎),继发于尿路结石的炎症,慢性感染。
A3:除了基础检查,全腹部超声。采集尿液和导尿尿液做尿检,不要穿刺做尿检。虽然超声不可见,但是不能排除膀胱壁浸润性改变,所以肿瘤细胞在腹膜散播的风险仍然存在。因为常规超声无法评估近端尿道,可以考虑尿路造影和经直肠的超声探查。膀胱镜手术或活检采样是需要的,插入导尿管也可获得组织碎片。本病例采样活检证实了移行上皮细胞癌(TCC)。
A4:基于该犬表现的症状和尿路狭窄的可能,需要插入导尿管,但是如果长时间维持会比较难,可以考虑尿道支架和尿道造口。吡罗昔康联合化疗可以提高TCC动物的中位存活率。TCC的化疗药物有米托蒽醌,长春新碱,卡铂,苯丁酸氮芥节拍化疗。放疗在有的文献中被提到过。光动力疗法被指出能延长存活时间。
尿液里的上皮细胞(科宝S50尿液有形成分自动分析仪拍摄)
Reference:
《Small animal clinical oncology》