动物体液形态学——学习笔记(2)体液的诊断性分类
发布时间:2021-02-03
来源:科宝智慧医疗
分享
上篇笔记中我们为大家介绍了小动物体液样本的采集技巧、预处理方法以及基础检查(点击回顾上篇笔记)。文末提到最后我们还要对体液进行诊断性分类。本篇笔记将介绍体液检测的基础理念和常见情况,并着重讲解体液的分类,以及一些极具代表性的特殊体液特征。
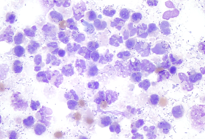
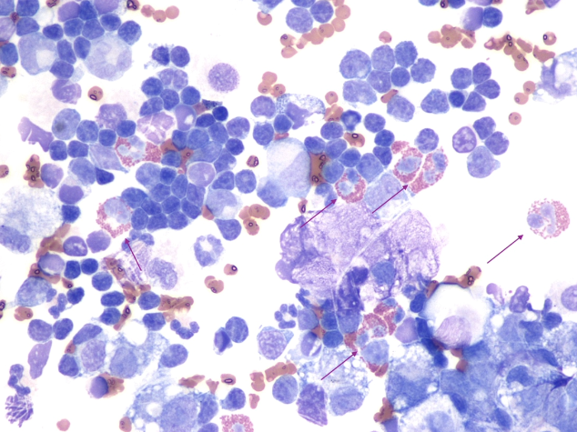
在体腔积液尤其是渗出液中,除去可能是穿刺造成的血液污染而引入的红细胞,最常见的细胞类型莫过于中性粒细胞、(小)淋巴细胞、巨噬细胞与间皮细胞(见下图)。前两者较好识别,因为他们和外周血中形态基本一致,后两者为体液典型细胞类型。
此外,我们还可能在积液里见到肥大细胞、浆细胞、嗜酸性粒细胞与各类肿瘤细胞:
不同的细胞提示不同类型的液体,也能帮我们追溯形成积液的原因。有时还会观察到细菌与异物,这能帮我们更好地找到病因。
胸腔、腹腔里存在少量体液是正常的,它们起到保护内脏减少摩擦的重要作用。它们来自于动脉毛细血管的微滤出,并由静脉毛细血管以及淋巴管吸收,因此表现为低蛋白、低细胞。健康动物体液的释放与吸收处于动态平衡,一旦这个平衡被打破,就会形成积液。影响积液形成的主要因素如下:
不同机制的失效/失衡会导致产生不同类型的积液,因此根据体腔积液的成分,尤其是细胞数量与蛋白质含量,我们可以对积液进行诊断性分类,并由此推理形成该积液的可能原因,找到进一步精确诊断与对症治疗的方向。小动物医学上,可以将积液分为:
蛋白质含量小于20g/L,细胞数量少于1500 cc/ul的低蛋白低细胞体液。外观经常呈无色透明,或浅黄色透明。细胞学表现为含少量混合有核细胞(巨噬细胞、小淋巴细胞、间皮细胞),极少有中性粒细胞。病理机制一般为:
改性漏出液这个概念仅存在于兽医领域,过去很长一段时间被作为漏出液与渗出液的中间状态来对待,但最近的研究显示,多数改性漏出液有着自己的病理机制,即不等同于漏出液,也不是渗出液的温和表现。现在有学者提出重新命名体液分类,取消改性漏出液这个名字,改为高蛋白性漏出液(相应的原先的漏出液应叫做低蛋白性漏出液),仅指低细胞(少于1500 cc/ul)、高蛋白质含量(大于20g/L)的体液。其外观常呈现黄色或琥珀色,可能出现少许浑浊。
高蛋白漏出液的病理机制源于肺或肝血窦和/或淋巴导管的流体静水压过高(笔者注:肝血窦是相邻肝板之间的腔隙,是一种特殊的毛细血管,由含孔隙的内皮细胞构成,故通透性较大,有利于肝细胞与血液交换大分子营养物质,但如果遇到血窦后方静脉阻塞导致血窦静压过高,蛋白质分子也会从这些空隙中溢出,形成高蛋白漏出液;同理还有肠道吸收性血管,也含有较多的孔隙)。常见病因有:
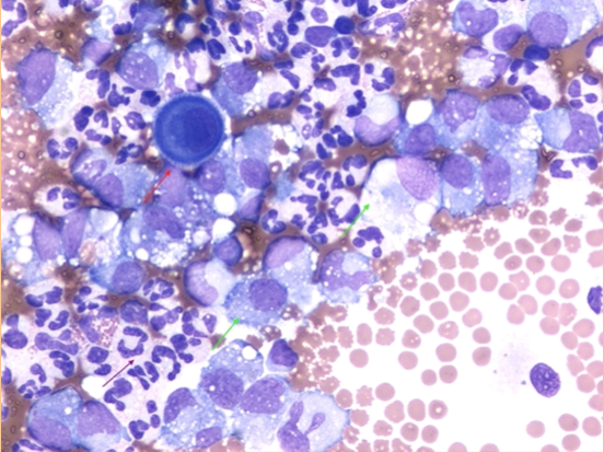
犬高蛋白性漏出液(浓缩后抹片)。绿色箭头:巨噬细胞;紫色箭头:中性粒细胞;红色箭头:间皮细胞表现为高细胞(多于1500 cc/ul)、高蛋白质含量(大于20g/L)的体液,浑浊且色彩多变。细胞学检查常见大量中性粒细胞(急性期比例甚至可高达100%),尤其是化脓性感染时,还会伴随退行性变化(细胞核肿胀苍白分叶消失)与吞噬相;慢性期巨噬细胞数量会上升。渗出液无一例外地来源于血管主动提升通透性、主动释放(吸引)大量免疫细胞(及蛋白质)进入体腔。其原因往往是炎症或血管损伤诱发,但炎症不代表一定有感染,鉴定是否存在细菌感染,需要进行微生物培养(有氧+无氧),并配合细胞学中寻找被吞噬的细菌(见下图,但并不总是能找到)。如果证明存在微生物感染,药敏试验对治疗意义重大!如果微生物培养和细胞学都无法证明感染的存在,我们称此为无菌性渗出液,常见原因包括胰腺炎、肝炎、脂肪炎、肺炎、肿瘤(坏死与炎症)或胆汁、尿液的刺激(穿孔)。感染性渗出液,又称化脓性渗出液,常见于细菌感染(多为厌氧菌或兼性厌氧菌,例如梭菌),也见于病毒(FIP等)、真菌、寄生虫(弓形虫等)感染。感染可能起源于菌血症、胃肠道穿孔或穿孔性外伤。腹腔异物也会造成渗出液。

特殊类型的积液
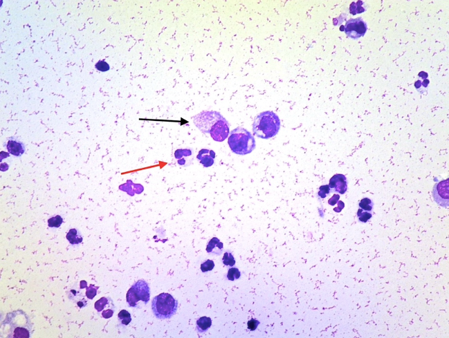
湿性猫传腹的病理机制是病毒抗原诱导机体免疫反应形成大量抗体,抗体与抗原结合形成大量免疫复合体堆积在血管壁上引起血管炎,导致血管通透性升高,同时中性粒细胞在趋化因子的介导下,主动移行到病变部位,从而形成大量胸水或腹水。积液呈黄色,可能因为含纤维蛋白而导致浑浊。最显著的特征是其蛋白质含量一般高于40g/L,且白球比小于0.8。细胞含量常在2000到6000 cc/ul不等。极高的蛋白(免疫复合体)可在细胞学下观察到,表现为凝聚状粉红色颗粒均匀分布在背景中(见下图),并伴随大量无退行性变化的中性粒细胞(未吞噬细菌)与激活的巨噬细胞。FIP猫腹水染色。红色箭头:分叶中性粒细胞(无退行性变化);黑色箭头:巨噬细胞。
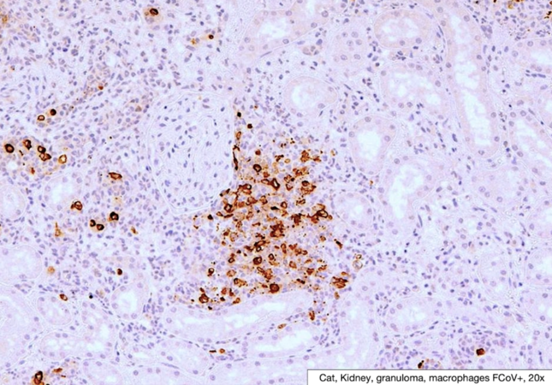
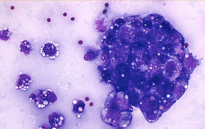
笔者补充:然而,无论是白球比、李凡他试验还是细胞学发现,都不FIP特有的表现,其他原因也可能导致相似结果(李凡他的特异性仅有60%!),因此这些检查只能用于筛查,确诊FIP需要更多的实验室检测,并结合临床表现与病史来综合判断。PCR(检测腹水冠状病毒核酸)和血清检测(血清蛋白电泳+冠状病毒抗体滴度)可以进一步支持FIP的诊断,但它们仍然有一定比例的假阴性与假阳性,阳性结果不代表一定就是FIP(例如:少量肠道冠状病毒的残留核酸也可能导致PCR检测结果呈阳性),阴性结果相对来说反而更能排除FIP。最准确的诊断方式为免疫组化,这是猫传腹的诊断金标准,也是干性猫传腹唯一可靠的检测,具体方法为开腹探查并采集位于肠壁、肝脏、肾脏或其他腹腔器官上的肉芽肿,或采集异常肿大的肠系膜淋巴结组织,进行组织学检查与免疫组织化学染色,如果发现肉芽肿组织中的巨噬细胞内含有大量冠状病毒抗原(下图棕色区域),即可确诊猫传腹。
淋巴导管堵塞或破裂导致乳糜进入体腔形成积液,由于含大量甘油三酯乳糜微粒而呈现乳白色黏稠外观。鉴定方法为比较积液中的甘油三酯与血清中的甘油三酯含量,前者大于后者即可确认,乳糜积液与血清甘油三酯比通常会高达3:1。细胞学表现为大量小淋巴细胞,伴随少量富含脂质空泡(透明泡沫状)的巨噬细胞(见下图)。HCT/PCV>3%或>25%外周HCT时,且具有血清成分特征时(例如含血清蛋白质),为出血性积液。细胞学上可以通过观察退行性变化的红细胞与红细胞被吞噬相(见下图)来区分是出血性还是医源性(穿刺造成的血液污染)。医源性的血液由于非常新鲜,一般形态完整,此外还含有正常比例的血小板,而出血性积液里的血小板在几个小时后就会消耗降解,因此不太可能出现。含铁血黄素(普鲁士蓝染色)与橙色血质(下图黄色菱形晶体)是陈旧性出血性积液最好的证明。出血一般是肿瘤造成的,但在大型犬上也有自发性内脏出血。膀胱破裂导致尿液流入腹腔,形成低蛋白性漏出液。然而由于尿液具有高度组织刺激性,因此很快会吸引炎性细胞并转变为渗出液。尽管无菌,由于尿液的刺激性本身也会造成中性粒细胞的迅速退化,这使得细胞学诊断有时会陷入困境。最准确的检测是比较积液与血清中的肌酐含量,两者比例大于2:1时即可确认。笔者补充:作为特殊积液,腹腔积尿是非常特别的低蛋白性漏出液,但这个分类仅基于蛋白质与细胞含量的定义来判断,由于尿液本身具有高渗透性,因此与普通的低蛋白性漏出液有本质上的不同,我们可以通过非染色的方法来迅速证明,例如如果在腹水中观察到尿液特有的结晶(如下图),那么诊断会变得容易得多。而一般漏出液的比重与体液一致,为等渗液体,但相对新鲜的腹腔积尿仍保持着高渗透性,尽管它会随着时间与腹腔炎症反应被组织液逐步稀释,但仍然很高,具有提示性。当然,由于腹腔炎症反应,积液中含有红细胞与白细胞,不能据此判断尿液本身的状态。胆囊或胆管破裂导致,原因包括胃扩张、胃扭转、胆结石、膈疝或医源性,外观呈棕色或黄色或绿色,并富含大量中性粒细胞与反应性间皮细胞(见下图)。诊断需比较积液与血清的胆红素含量。顾名思义,当积液中含大量嗜酸性粒细胞(比例超过10%)时,该积液被称为嗜酸性积液(见右图),原因往往是寄生虫感染、间质性肺炎或弥散性嗜酸性粒细胞性肉芽肿。胸腔与腹腔的肿瘤常会引起各种类型的积液,但并不总会释放肿瘤细胞到积液中,因此细胞学诊断很容易漏诊。最常引起积液的肿瘤有淋巴瘤、转移性鳞状上皮癌与间皮瘤。此外还有内脏型肥大细胞瘤、肉瘤与胸腺瘤也会引起积液。根据积液的蛋白质含量与细胞数量、特征进行诊断性分类,对寻找病因与决定下一步诊断方法有着决定性意义,因此是体液分析学中最重要的一步。按照最新(病理机制理论)的分类方法,我们根据细胞的含量将体液分为渗出液与漏出液,记住渗出液永远是炎性、主动性的,而漏出液往往是被动性的;再根据蛋白质含量把漏出液分为低蛋白漏出液与高蛋白漏出液(曾经的改性漏出液),根据是否有感染特征(退化、吞噬相、微生物培养)将渗透液分为无菌性渗透液与化脓性渗透液。这样,我们的鉴别诊断范围就大大缩小了。接下来就是更严谨的细胞学诊断,尽管这一步我们可以交给第三方实验室或细胞学专家进行,但不代表之前做的体液基础检查与推理意义不大。很多情况下体液细胞具有迷惑性,因此我们需要将病史、临床与之前的体液检查结果(尤其是蛋白质含量和细胞数量,以及外观)告诉专家;对临床表现或细胞学检查怀疑为前文介绍过的特殊类型的体液,例如乳糜液、积尿、肿瘤积液、传腹积液等,我们应继续进行相应的诊断检查(例如PCR,或对比体液与血清的生化特征),来进一步确认。值得注意的是,很多漏出液随着时间的推移会对机体产生刺激,从而产生继发性炎症(例如慢性乳糜胸水中会出现原先并没有的中性粒细胞)或间皮激活现象(例如高蛋白性漏出液常会刺激胸膜或腹膜导致间皮反应性脱落);在炎症状态下间皮细胞被激活后会表现出更多非典型外观,使得区分反应性与肿瘤性相当困难;渗出液也会随着时间推移改变炎性细胞的比例(例如巨噬细胞比例上升)……因此可能产生许多混淆。同时细胞学诊断的敏感性不是很高,很多致病因素并不能在细胞学涂片中发现(例如肿瘤细胞、病原体),所以我们不能盲目地仅根据细胞学来做诊断,仍然需要结合临床,寻求更多诊断证据。
此病例为一犬腹腔有巨大肿物和浑的腹水,下图为腹水的细胞学,左上角为细胞与蛋白质含量。你是否能判断?


课程相关信息:本课程系列由兽医病理学专家Dr. Francesco Cian(意大利)以线上课程的方式在VETcpd平台上主讲,并由科宝智慧医疗动物事业部整理为中文学习笔记,供广大临床兽医师参考。Dr. Cian是英国Batt Lab动物第三方临床检测实验室(隶属于德国纳博科临实验室)的主管与细胞学专家,并曾在2018年来华进行细胞学培训巡讲,著作有《兽医细胞学》并被翻译为各种语言版本。本笔记仅记录课程精华内容与笔者个人体会,完整内容请见完整课程(vetcpd.co.uk/product/fluid-cytology-for-general-practice-od)。
笔记整理者:梁佳莹 DVM
德国莱比锡大学动物医学学院毕业,德国执照兽医师,寄生虫学与神经科学在职博士;
曾就职于德国纳博科临实验室担任中国市场与技术总监,擅长临床检测;目前就职于德国科宝国际有限公司总经理,科宝全球动物事业部负责人。